Skyscan 1276是一种高性能、独立、快速的台式小动物活体显微CT,具有连续可变的分辨率放大倍数,适用于扫描小型实验动物(小鼠、大鼠等)和离体生物样本。

一、功能特色:
1、Skyscan 1276具有高分辨率、大图像尺寸、圆形和螺旋形(螺旋)扫描和重低剂量成像组合等特点。
2、最大图像视场:宽75 mm,长310 mm,可进行小鼠和大鼠全身扫描。可变的放大率能够扫描骨和组织样品,具有低至2.8µm像素尺寸的高空间分辨率。
3、可变的X射线能量与一系列滤片结合,确保了无论是对肺组织还是有金属植入物的骨骼等样品的扫描,都能获取出色的图像质量,能够满足多种研究应用需求。
4、该系统可在连续机架旋转和步进模式下进行扫描,扫描周期低至3.9秒。
5、Skyscan 1276活体Micro-CT对动物的辐射剂量低,能够在纵向临床前研究中进行多次扫描,无需担心辐射诱导造成的有害副作用。完全集成的生理监测包可以通过视频流、心电图、体温和呼吸检测随时监测和控制动物的健康状况。
二、技术参数:
特点 | 参数 | 优势 |
X射线源 | 40-100kV可变X射线能量与一系列金属过滤器相结合 | 可确保从肺组织到带有金属植入物的骨骼等各种密度样品的研究应用,并获取最佳图像质量。 |
< 5 µm spot size at 4 W | ||
自动6位过滤器更换器 | ||
X射线探测器 | 16 Mp CMOS 探测器4096 * 4096 像素 | 可实现高分辨率的细间距探测器 |
空间分辨率 | 2.8 µm 最小像素尺寸 | 活体成像的超高真实分辨率 |
6 µm 空间分辨率(10% MTF) | ||
辐射安全 | 仪器表面<1 uSv/h | 确保操作安全 |
样品尺寸 | 深度:75 mm | 满足对大鼠、小鼠以及离体的大动物骨骼的全身扫描需求 |
高度:310 mm |
三、应用方向
1、骨骼与组织分析
适用于骨骼、关节、软组织等多种生物样本的三维成像,帮助研究人员深入了解骨骼疾病、骨折愈合等过程
2、生物医学研究
该系统能够精确扫描小动物体内的组织结构,广泛应用于肿瘤、骨骼疾病、肺部疾病、心血管疾病等研究,为疾病机制的探究和治疗方案的研发提供可靠的数据支持。
3、药物研发与临床前研究
该系统提供低辐射、高分辨率的扫描技术,是药物临床前评估、毒理研究和治疗方案验证中的重要工具。
4、材料科学
除了生物样本,该系统还广泛应用于材料科学领域,对复合材料、陶瓷、金属等微观结构进行分析,研究材料的内部缺陷和结构性能。
5、牙齿及牙周组织
该系统能够从3D整体结构出发,对根管形态改变、龋齿破坏、牙组织密度变化、牙槽骨结构和力学特性的变化等情况进行研究。
四、例图

小鼠股骨体积渲染3D模型

大鼠头骨的3D模型

小鼠膝关节体积渲染3D模型

小鼠血管的3D成像

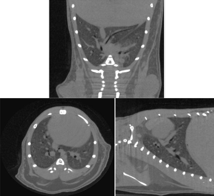
小鼠肺部活体扫描的正交截面成像

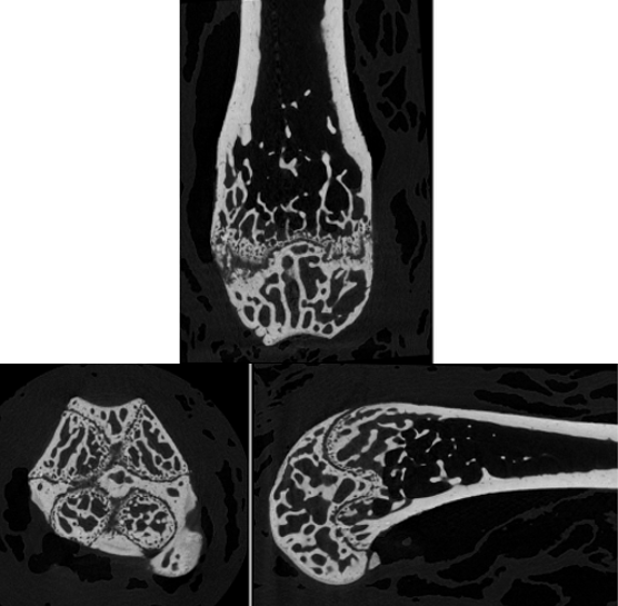
小鼠股骨的正交截面成像
五、送样说明
取样:
1.动物处死之后尽快取样,必要时加辅助的形态固定措施
2.剥除非必要的软组织
3.尽量取出额外的造模材料等
固定:
1.多聚甲醛
2.乙醇
3.冷冻保存 -- 完全解冻再扫描
活体:不提供麻醉药物,如需进行活体成像实验请自备
六、联系我们
仪器放置地点:华南理工大学广州国际校区C1C-4楼显微成像室(Micro-CT)
联系人:赵老师 18819474595



